Our Blog
Can Gum Contouring Correct My Receding Gums?
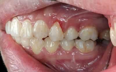
Your gums are just as important an element of your smile as your teeth. If your smile shows too much or too little gum, it can appear unbalanced. Gum contouring provides an effective treatment option to balance your smile and deal with receding gums and other issues....
Why You Might Need a Sinus Lift Before Dental Implants
Dental implants can restore the form and function of your smile as well as provide excellent long-term oral health outcomes. However, certain factors affect your candidacy. Some patients may need a sinus lift before dental implants to ensure strength and longevity....
The Connection Between Diabetes and Gum Disease
Diabetes is among the most widespread health conditions, affecting more than 37 million people in the US.1 It’s associated with a wide range of severe complications and significantly impacts life expectancy and lifestyle. Many people are unaware of the connection...
How to Have a Speedy Dental Implant Recovery
Dental implants are a versatile solution that can restore the function and appearance of your smile. Their strength and durability come from being implanted and integrated into the jawbone, which requires dental implant surgery. Like any other oral surgery, some time...
Can Exercise Help Prevent Gum Disease?
Gum disease is a widespread condition that affects nearly half of U.S. adults over 30.1 Despite its prevalence, there are some simple steps you can take to reduce your risk of developing this condition. The connection between exercise and gum disease prevention is one...
Can I Use an Electric Toothbrush with Dental Implants?
Dental implants are often the best tooth replacement option for any given situation. They provide many benefits over full or partial dentures. However, they still have specific care requirements you’ll need to follow to make your implants last and avoid...
Gum Grafting: What It Is, Procedure, and Recovery
Your gums should naturally cover the roots of your teeth entirely, providing protection and preventing pain and sensitivity. However, a variety of causes can lead to roots becoming exposed. Gum grafting surgery offers an effective solution to restore the gumline and...
Pros and Cons of Implant-Supported Dentures
Facing the challenge of missing teeth is incredibly common and becomes more likely with age. Nearly 40 million Americans are missing all of their teeth.[1] Missing teeth can affect your health and ability to eat and speak naturally. Implant-supported dentures in...
Wisdom Teeth Removal — What to Expect During Recovery
Wisdom teeth removal is a common oral surgery that 85% of people need at some point.1 Like other types of oral surgery, you can expect a recovery period with specific side effects and aftercare requirements. Here’s what you need to know if you need your wisdom teeth...
Care Beyond Your Expectations








